歯科技工物 デンチャー・矯正関連

義歯部門より
個々の要望に応え良質な技工物を製作いたします。
超高齢化社会をむかえるにあたり、さまざまな症例に対応するべく研修会、
セミナー参加、設備投資などを積極的に行い、デンチャー製作の立場から
QOLの向上をめざし地域医療に貢献したいと思っています。

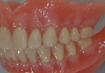
GDSデンチャー
GDS(Global Dental System)のメゾットで製作する患者様1人1人にあった排列はもちろん審美にもこだわったハイグレードのデンチャーを製作いたします
※こちらの製品につきましては、発注前に必ず本社までお問い合わせください。
GDS HP http://www.gds.or.jp

金属床
適合・デザイン・材料・使用金属にこだわり口腔内で長期安定するよう症例ごとに、ニーズにあった金属床を製作いたします
当社ではコバルトクロム床 チタン床を取り扱っております。

エステショットブライト
つよさとしなやかさを持ち操作性(修理可能)や低吸水性の熱可塑のポリエステル樹脂を使用して製作いたします 適度な硬さがあり従来の樹脂に比べ適合精度も向上したのでメタルプレートとのコンビネーションを併用することにより審美 機能を兼ね備えた噛み心地の良いデンチャーを製作いたします
写真色調 ライブピンク

バイオトーン
バイオトーンはポリアミド樹脂特有の柔軟性と適度な固さと強度を有しています。
幅広い症例に対応したノンクラスプデンチャーの製作が可能です。耐久性もあり変色にも強いので劣化しにくいです。プライマーの使用により増歯、プーム修理が可能になります。
色調リアルピンク

イオンコーティング
美しいゴールド色が表現でき、患者さんの好みに合わせて、微妙な色の違いまで自在に表現できます。
プレミアムなニーズに答えられる為に自信をもっておすすめします。